LE FACCETTE IN CERAMICA – CREAZIONE DELL’ASPETTO NATURALE DEI DENTI
Le faccette in ceramica Veneers sono sottili pezzi di ceramica che si usano per creare il nuovo aspetto naturale del dente, e nello stesso tempo offrono forza e resistenza simile allo smalto dentale naturale.
Un passo verso un sorriso perfetto
Un passo verso il sorriso perfetto e l’estetica suprema è nello studio Dentista Croazia 4Smile.
Con nostro team professionale di dottori, siete solo a un passo dal sorriso di Hollywood, con la dettagliata pianificazione di ogni passo, le faccette in ceramica possono essere la soluzione perfetta per voi.
Sono fatte di vetroceramica che ha una suprema trasparenza e naturalezza. Possiamo cambiare la loro forma, grandezza, larghezza e colore.

Scaglie di ceramica
Le impronte per WAX UP
Stampa per
WAX UP
In collaborazione con il paziente accordiamo le preferenze e le possibilità e prendiamo l’impronta per il WAX UP (modellazione in cera) e applichiamo le faccette con materiali temporanei nella bocca del paziente (MOCK UP) per dargli la possibilità di vedere il suo sorriso futuro.
Se il paziente vuole alcune modifiche e non è soddisfatto, è possibile la nuova modellazione in cera e la conseguente applicazione in bocca.

Wax up – dimostrazione delle future faccette sul modello gessato, con l’aiuto della cera.
Quando il paziente è soddisfatto, proseguiamo con la lavorazione delle faccette.
Esistono 3 tipi di faccette:
Convenzionali – si lama minimamente la superficie frontale del dente
Preparazione minima – si preparano minimamente solo parti determinati della superficie frontale del dente
Non prep faccette – lavorazione delle faccette senza preparazione

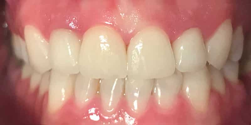
Le faccette daranno al vostro sorriso una nuova irresistibile dimensione
Un nuovo sorriso
Dopo la limatura dei denti sotto l’anestesia locale si prende l’impronta e si inizia la lavorazione in laboratorio.
Dopo alcune prove segue la cementazione che è anche indolore e il nuovo sorriso è pronto.

Le faccette in ceramica su 11,12,21,22 (superiori frontali incisivi)























